drmayurapaul@live.in +91-9810266533, 9811389893

Veneers Laminates

Ceramic is a non metal, inorganic material possessing glass like properties and resembling tooth enamel. Ceramic veneers are extremely esthetic, relatively non invasive and exhibits best tolerance in oral environment. They fit accurately onto the faces of prepared anterior teeth. They can be used to mask discoloration, restore cracks and chipping and can be used to change the shape or size of your teeth. 

Veneer procedures require two appointments -
1. In the first appointment the tooth is prepared and an impression is made. Since veneers are minimally invasive restorations, a very small portion of the face and top edge of a tooth is removed to achieve a proper preparation design. The veneer is fabricated in the lab, which, not unlike false fingernails on your fingertips, fit onto your teeth. These are your veneers.

2. During the subsequent appointment, veneers are cemented onto your teeth. Placing veneers is a meticulous and delicate procedure and hence requires time. Each veneer is trial fitted to assess for aesthetic and functional success before final cementation. If needed, fine adjustments are made prior to or immediately after final cementation.

Today, ceramic laminates are an inseparable part of modern day esthetic dentistry. They are stronger and longer lasting than composite resin restorations.

Porcelain Veneers - Before and after pics

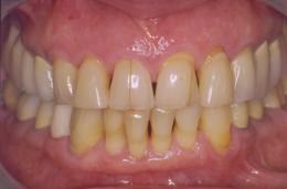
Chipped,discoloured teeth with gaps
The smile with veneers

The above picture shows a patient with tetracycline staining. A ceramic veneer can be used to hide the stain.

Porcelain ( Ceramic) veneers FAQ


What really are porcelain veneers?

These are ultra-thin shells of ceramic material, which are bonded by specialized materials to the front of teeth. These are the ideal choice for improving the appearance of the anterior teeth. They are used to mask discolorations, to brighten teeth, and to improve a smile and esthetics.

 


What are the indications of a porcelain veneer?

Porcelain veneers are an excellent substitute to crowns in many situations. They can cover undesirable defects, such as intrinsic stain by tetracycline, cracked tooth, chipped off tooth etc.


Have pragmatic expectations

Porcelain veneers are reasonable facsimiles of natural teeth and  not perfect replacements. Its common to see very slight variations in the colour of porcelain veneers upon close inspection, as this occurs even in natural teeth. However, this procedure can greatly enhance the smile, and can amplify inner satisfaction and self-esteem.